Cabinet dentaire du Dr Sonia MENCEUR
Chirurgien-dentiste à Paris
94 rue de Sèvres, 75007 PARIS
+33 1 42 73 19 44
Cabinet dentaire du Dr Sonia MENCEUR
Chirurgien-dentiste à Paris

TRAITEMENTS

1/ SOINS

 

Dans la mesure du possible, nous  conserverons vos dents vivantes car l’avènement des collages permettent de restaurer les dents sans les couronner. Pour cela, nous vous proposerons de réaliser des composites ou des inlays onlays collés.

 

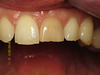
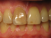
2/ BLANCHIMENT INTERNE

Le blanchiment interne permet d'éclaircir une dent antérieure dévitalisée colorée.

2-blanchiment-interne-avant
2-blanchiment-interne-apres

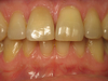
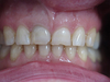
3/ BLANCHIMENT

Nous utilisons le blanchiment depuis 25 ans pour éclaircir la teinte des dents. Ainsi, nous observons de nombreuses demandes à ce sujet car des dents grises ou foncées influencent la façon de sourire : le patient ne sourit pas ou peu, par gène. En éclaircissant les dents, le sourire revient et le bien-être s’améliore.

3-blanchiment-avant
3-blanchiment-apres

4/ FACETTE

 

Les facettes sont comme « des faux ongles » que l’on colle sur les dents pour changer leur forme et leur couleur. Les préparations dentaires sont pelliculaires afin de rester dans l’émail. 

Le résultat final est très naturel et harmonieux.

 

4-facette-1-avant
4-facette-1-apres
4-facette-2-avant
4-facette-2-apres
4-facette-3-avant
4-facette-3-apres

5/ LES CERAMIQUES ANTERIEURS

Dans le cas où les dents sont très abimées, on réalise des couronnes. De nos jours, les procédés céramiques, sans métal, améliorent l’esthétique. On obtient un rendu esthétique optimal.

5-ceramique-1-anterieur-avant
5-ceramique-1-anterieur-apres
5-ceramique-2-anterieur-avant
5-ceramique-2-anterieur-apres

6/ REHABILITATION PROTHETIQUE ANTERIEURE

Avant même de toucher à vos dents, nous réalisons une analyse esthétique avec des cires de diagnostics. C’est une façon d’obtenir un projet esthétique de vos futures dents. Ce projet est ensuite validé à l’aide de provisoires.

1
2

Création par Webdentiste

Connexion